AI based Chest X-Ray (CXR) Scan Texture Analysis Algorithm for Digital Test of COVID-19 Patients
doi: https://doi.org/10.1101/2020.05.05.20091561
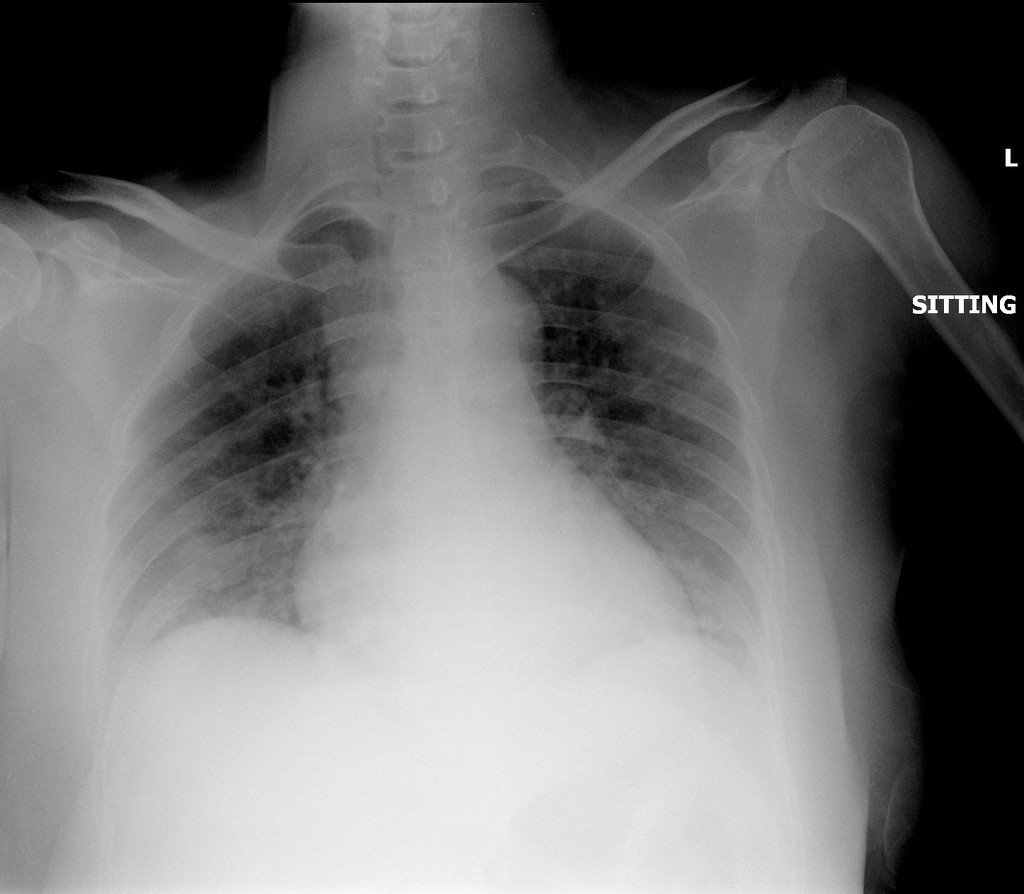
Chest Imaging in COVID-19 patient management is becoming an essential tool for controlling the pandemic that is gripping the international community. It is already indicated in patients with COVID-19 and worsening respiratory status. The rapid spread of the pandemic to all continents, albeit with a nonuniform community transmission, necessitates chest imaging for medical triage of patients presenting moderate-severe clinical COVID-19 features. This paper reports the development of innovative machine learning schemes for the analysis of Chest X-Ray (CXR) scan images of COVID-19 patients in almost real-time, demonstrating significantly high accuracy in identifying COVID-19 infection. The performance testing was conducted on a combined dataset comprising CXRs of positive COVID-19 patients, patients with various viral and bacterial infections, as well as persons with a clear chest. The test resulted in successfully distinguishing CXR COVID-19 infection from the other cases with an average accuracy of 94.43%, sensitivity 95% and specificity 93.86%.
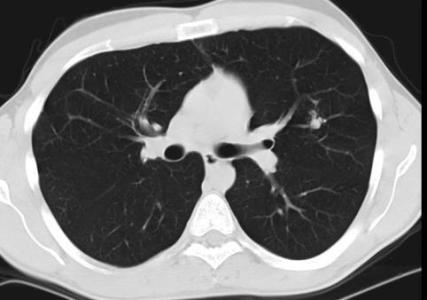
COVID-19 CT Scan
COVID-19 CT Scan
Detecting COVID-19 from Chest CT-Scan
Detecting COVID-19 from Chest CT-Scan
Detecting COCID-19 with high confidence
Challenge
Challenge
In the current COVID-19 pandemic, every tool to detect the infection accurately is a welcomed addition to the array of tools available to clinicians dealing with the victims of the outbreak. The challenge is to provide accessible technology to enable Radiologists to reach decisions confidently, accurately and at a speed that matches the high demand.
Value
Our software utilises Machine learning schemes for the analysis of Chest CT Scans of COVID-19 patients and is capable of identifying the presence of infection with an average accuracy of 95.37%, with 95.99% sensitivity and 94.76% specificity.





